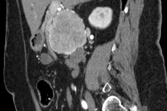
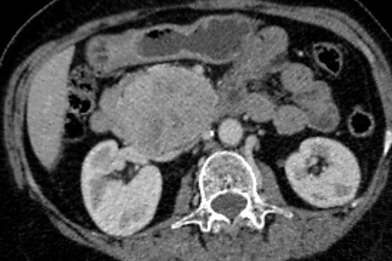
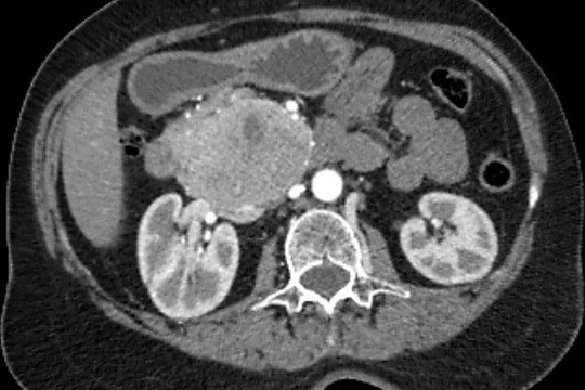
«Միքայելյան» համալսարանական հիվանդանոցում հերթական բարդ վիրահատությունն է իրականացվել, հեռացվել է ենթաստամոքսային գեղձի գլխիկի մեծ ուռուցք ավելի քան 10սմ տրամագծով, որը սերտ հպված էր միջընդերային զարկերակին և երակին:
Առհասարակ ենթաստամոքսային գեղձի գլխիկի մեծ չափի ուռուցքները համեմատաբար քիչ են հանդիպում: Առավել քիչ են հանդիպում այն դեպքերը, երբ գեղձի գլխիկի մեծ չափերի ուռուցքը չի առաջացնում մեխանիկական դեղնուկ: Համալսարանական հիվանդանոցի Վիրաբուժության կլինիկա է դիմել 62 տ. կին՝ գանգատվելով ցավից և ծանրության զգացումից վերորովայնային (էպիգաստրալ) շրջանում:
Կատարվել է վիրահատություն՝ վիրաբույժներ պրոֆ. Ս.Ա.Ստեփանյանի, Վ.Ս.Բադոյանի, Ղ.Ս. Սարգսյանի կողմից, ընդհանուր անզգայացումն իրականացրել է անէսթեզիոլոգ Ա.Ս.Ղազարյանը: Հաշվի առնելով ուռուցքի սերտ հպումը վերին միջընդերային զարկերակին և երակին, վիրահատությանը մասնակցել և բարդ փուլերից մեկն իրականացրել է Անոթային վիրաբուժության բաժանմունքի վարիչ Ռ.Ս.Պալոյանը:
Կատարվել է պանկրեատոդուոդենալ մասնահատում, տեխնիկական դժվարություններով ուռուցքն անջատվել է վերին միջընդերային երակից և զարկերակից:
Հեռացված հյուսվածքի հետազոտությամբ հայտնաբերվել է ենթաստամոքսային գեղձի գլխիկի նեյրոէնդոկրին ուռուցք:
Հետվիրահատական շրջանում հիվանդը տևական ժամանակ գտնվել է վիրահատող վիրաբույժերի հսկողության տակ: Աստիճանաբար վիճակը կայունացել է, և նա դուրս է գրվել բուժհաստատությունից` գտնվելով օնկոլոգների հսկողության տակ:
.png)