Շուրջ 2 տարի բազմաթիվ վիրահատություններ և բուժումներ ստացած բուժառուի ձեռքի ֆունկցիան վերականգնել են․ թիմային աշխատանքի հերթական արդյունքը
56-ամյա տղամարդը դիմել է «Միքայելյան» համալսարանական հիվանդանոց՝ գանգատվելով ձախ ձեռքի ֆունկցիայի խանգարումից, դեֆորմացիայից, ցավից, այտուցից։
Նախապատմություն
Հիվանդը նշել է, որ դեռևս 18 ամիս առաջ ընկնելու հետևանքով ստացել էր վնասվածք, կատարվել էր վիրահատություն՝ նախաբազկի ոսկրի մետաղական օստեոսինթեզ հարթակով և պտուտակներով։
Հետվիրահատական 2-րդ ամսում հարվածելու հետևանքով կրկնակի վնասել էր նախաբազուկը՝ առաջացնելով մետաղական կոնստրուկցիայի տեղաշարժ, ինչի կապակցությամբ ստացել էր կոնսերվատիվ բուժում՝ գիպսային վիրակապով։
Համալսարանական հիվանդանոց դիմելուց 4 ամիս առաջ հեռացվել էր մետաղական կոնստրուկցիան, ստացել էր կոնսերվատիվ բուժում, ինչը, սակայն, եղել էր անարդյունավետ, և երիտասարդ տղամարդը մեր հիվանդանոց էր դիմել սաստիկ ցավերով՝ նշելով, որ ձեռքն բացարձակապես անշարժացած է։
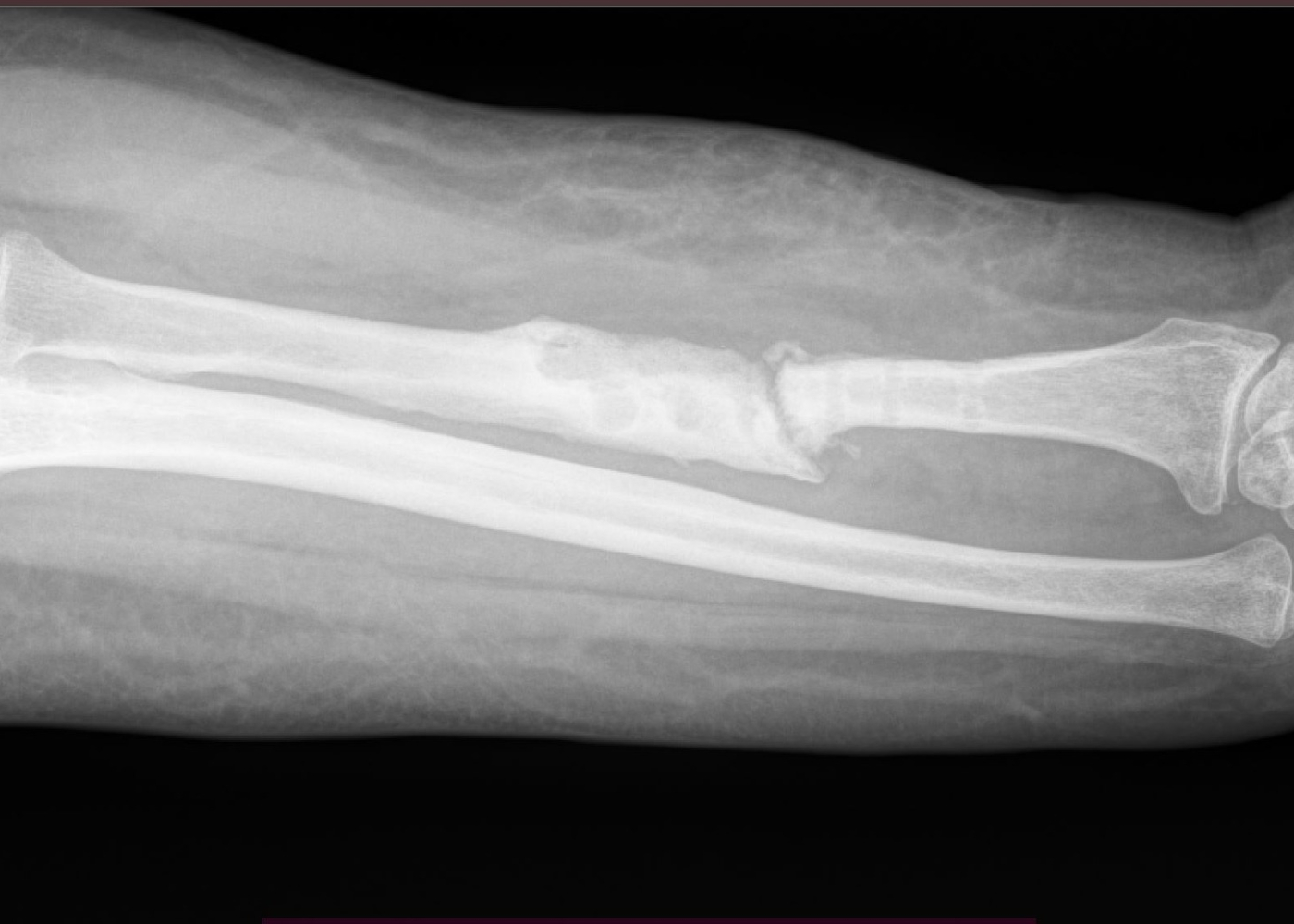
Վիճակը՝ դիմելու պահին
Կատարված հետազոտությունների հիման վրա տղամարդու մոտ ախտորոշվել է ոսկրային դեֆեկտ, ոսկրի, մկանների, ջլերի և նախաբազուկի կարճացում, հոդի ֆունկցիայի խանգարում։ Բուժառուն հոսպիտալացվել է Վնասվածքաբանության և օրթոպեդիայի բաժանմունք՝ ստացիոնար բուժում ստանալու նպատակով։
Ձևավորվել է բժշկական թիմ՝ օրթոպեդիայի և վնասվածքաբանության բաժանմունքի, և պլաստիկ միկրովիրաբուժության բաժանմունքի բժիշկների մասնակցությամբ։ Մասնագետների առաջ բարդ խնդիր էր դրված՝ մի կողմում չսերտաճած կոտրվածքն էր՝ կեղծ հոդի առկայությամբ, ճաճանչային զարկերակի սպիացած վնասվածքով, մյուս կողմում՝ ոսկրային դեֆեկտի պատճառով նախաբազուկի կարճացումը, ձեռքի ֆունկցիայի կորուստը, ճաճանչ-դաստակային հոդի հնացած հոդախախտը։
Թիմային աշխատանքի արդյունքը
Որոշվել է վիրաբուժական ռազմավարությունը՝ բաղկացած երկու փուլից։ Առաջին փուլով Օրթոպեդիայի և վնասվածքաբանության բաժանմունքի վարիչ Սեյրան Սարոյանի կողմից կատարվել է ձախ նախաբազկի երկարեցում Իլիզարովի ապարատով, որը միտում ուներ նախ շտկել նախաբազկի կարճացման հետևանքով առաջացած հոդախախտը, ապա ապահովել փոքրացած և կարկամված մկանների և ջլերի էտապային, դանդաղ, անցավ երկարացումը։ Առաջին վիրահատության արդյունքում բուժառուի նախաբազուկը հաջողվել է երկարացնել մոտ 4 սմ-ով։
Երկրորդ վիրահատությամբ Միկրովիրաբուժության ծառայության ղեկավար Արթուր Մամբրեյանի և բժիշկ Սուրեն Թոփլաղալցյանի կողմից սրունքից վերցվել է ոսկրային տրանսպլանտանտ իր զարկերակով, որը միացվել է նախաբազկի զարկերակին։
Միաժամանակ, Օրթոպեդիայի և վնասվածքաբանության ծառայության ղեկավար Ատոմ Տեր-Գրիգորյանի, բժիշկներ Տիգրան Կուպալյանի և Խաչատուր Հարությունյանի կողմից կատարվել է ճաճանչոսկրի օստեոսինթեզ՝ մետաղական հատուկ հարթակի և պտուտակների օգնությամբ, որի վրա ֆիքսվել է ոսկրային դեֆեկտի հատվածում տեղադրված տրանսպլանտանտը։
Վիրահատությունից երեք շաբաթ անց արդեն բուժառուի ձախ ձեռքի ֆունկցիան վերականգնվել է, ունենք դրական դինամիկա։
Նշենք, որ սա «Միքայելյան» համալսարանական հիվանդանոցի Օրթոպեդիայի և վնասվածքաբանության կլինիկայի թիմային աշխատանքի հերթական մեծ հաջողությունն է, երբ կարողացել են շուրջ 2 տարի բազմաթիվ վիրահատություններ և բուժումներ ստացած բուժառուին օգնել՝ փրկելով հաշմանդամությունից և վերականգնելով ձեռքի կենսական, կարևոր ֆունկցիան։
.png)